牙龈发炎,金银花换种喝法,多喝一口,牙周病少犯一次
早上起来刷牙时,牙刷上有血;照照镜子,发现牙龈红肿;亲朋好友也“投诉”你的口气大……当出现以上症状时,你很可能患上了牙周病,需要及时就医。

不过在我们身边,好多人会把这些问题当做“上火”,自己买点消炎、清热的药吃吃。口腔科医生提醒,吃药或用药物牙膏有些时候能在一定程度缓解不适,但这治标不治本,牙周炎并没有得到根治,还会复发或继续加重,甚至会导致牙齿脱落,因此建议到医院接受规范治疗。
牙龈红肿很可能是牙周炎
牙周病在普通人群中的患病率非常高,据统计,牙周病患病率(包括牙龈炎和牙周炎)在我国高达90%以上。
引起牙周炎的发病因素有很多,其中最主要的是菌斑和牙石,口腔卫生不良会使牙齿及牙龈表面形成细菌薄膜——牙菌斑。如果牙菌斑不除去,就会在口中逐渐钙化,形成牙石牙龈,致使牙龈红肿出血,引起牙龈炎症。
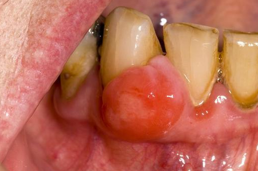
牙周炎的早期临床表现为口腔异味、牙龈红肿、刷牙或咬硬物时牙龈出血等。有些人由于缺乏口腔卫生知识,不了解牙龈出血与口腔卫生的关系,一旦发现牙龈出血,便立即停止刷牙,这样反而加重了牙龈的炎症。
随着牙龈炎症逐步向深层牙周组织发展,可出现牙齿松动和移位、咀嚼无力或疼痛、牙龈退缩、牙根暴露、食物嵌塞、牙周脓肿,甚至牙齿脱落,到此时才去就诊为时已晚。
预防牙周炎有什么措施?
1、注意口腔卫生,日常生活要养成良好的卫生习惯,注意口腔卫生,坚持做到早起及睡前刷牙,饭后及时漱口,清理口腔残渣,并了解掌握正确的刷牙方法。

2、注意饮食卫生,切勿常喝软饮料,如冰茶、可乐、柠檬汽水等各种碳酸饮料,均会对牙齿造成不同程度的伤害;尤其注意是睡前,刚吃完酸性食物的时候,例如柠檬、西柚汁后,不要马上刷牙,酸性液体容易使牙齿表面的釉质软化,此时刷牙容易破坏牙釉质,导致牙齿损耗,应先漱口,过一段时间后再刷牙。
3、提高口腔免疫力,日常要注意有效提高牙齿及口腔的免疫能力,将牙周病扼杀在萌芽状态;同时可选购合适的牙膏、牙刷、牙线,避免选择不合适的口腔护理产品导致牙龈问题的恶化。
4、密切注意牙周疾病的早期信号,如果在刷牙或吃东西的时候,出现牙龈出血的现象,要及早引起重视,因为这是牙周有炎症的表现,应尽早到医院诊治,查看龈下牙石情况,以及牙龈萎缩的情况。
5、养成健康的饮食习惯,注意调整饮食结构,日常饮食要注意营养均衡,多吃白肉、蛋、蔬菜、瓜果等有益于牙齿口腔健康的食物;尽量少吃含糖食品,不抽烟,少喝酒,多吃富含纤维的耐嚼食物,有效增加唾液分泌,利于牙面及口腔清洁。

帮助抗炎解毒,喝甜草养生茶:取金银花5克、桔梗6克、薄荷3克、甘草4克,水煎代茶饮,或直接取制好的茶包,开水冲泡温饮,早晚一杯。
6、定期进行口腔保健检查,定期进行口腔检查可及早发现口腔疾病,减少牙周病的发生。有条件的话,要保证儿童每半年一次,成人每年一次,到公立医院口腔专科进行口腔及牙齿健康检查;每半年或一年去医院洗一次牙,及时除掉龈下牙结石。